横浜 鶴見 歯医者  北村歯科

オール ジルコニア クラウン 
(ジルコニアのみで作ったクラウン)
(フルジルコニアクラウンとも呼びます)
オールジルコニアクラウン ジルコニアジャケットクラウン 呼び名はたくさんあります。


これまでは、歯のかぶせものに関して
自由診療では

*メタルボンドクラウン(冠)
*ジルコニアクラウン(冠)

の2本立で、自由診療のクラウン(冠)に対応してきましたが
2013年下期より
ジルコニアクラウンを導入することにいたしました。



オールジルコニアクラウンは

ジルコニアジャケットクラウン
ジルコニアコーピングクラウン

などと呼ぶこともできると思います。

一部では
アプリコットクラウン
とも呼ばれています。



逆に、従来の手法を

ジルコニアボンドクラウン
ジルコニア築盛クラウン
ジルコニアレアリングクラウン

と呼ぶこと、もできると思います。


 
オールジルコニアクラウンと
ジルコニアボンドクラウンの違いは

ジルコニアボンドクラウンは
コンピュターでスキャンして作った
フレーム(コーピングとも呼びます)に
セラミック(陶材)を築盛して
焼き付けを行い
さらに
お化粧を施したものです。



一番の特徴は
やはり 美しいことだと思います。

メタルボンドクラウンとの違いは
フレームがジルコニアか金属かの違い
になります。


 オールジルコニアクラウンの場合には
単一材料で作られているので
色調が、ジルコニアボンドクラウンやメタルボンドクラウンとはことなり

ジルコニア独特の色調になりますが
最近になって
原材料のジルコニアブロックの色が
ある程度選べるようになりました。




 オールジルコニアクラウン 初期 パール仕上げ

上の歯
オールジルコニアクラウン の一例 ホワイトブロック



オールジルコニアクラウン 3色

下の歯です
一番右は上の画像と同じブロック色
のオールジルコニアクラウン

色の濃さは選択可能です。


 
 
オールジルコニアは従来の方法と比較して
小細工がで来ません(ステイン法という色を塗る方法はありますが)

2015年バーションでは
ある程度、歯と近似した色になりました。
詳しくは表紙をご覧ください。


オールジルコニアクラウンは
小細工はできませんが、コストを抑えることにより
安価に、そして丈夫に作れることが特徴です。
 

 若干色調に劣るというより
結晶体なのでパールのような
独特の色調があります。

綺麗でいいとおっしゃる方もおります。
個人の趣味の問題です。

メタルボンドクラウンなどと比較して
小細工がで来ません(ステイン法という色を塗る方法はありますが)

小細工はできませんが、コストを抑えることにより
安価に、そして丈夫に作れることが特徴です。

小細工が効くメタルボンドクラウンと
保険適応の金属クラウンは
下記をご参考にしてください。
 

@金属は嫌で、天然に近いものがいい

@奥歯だから、色調は細かくこだわらないが

ぎらぎら光る、金属は嫌である。



という方には、良い選択肢だと思います。


しかしながら

前歯に使うなら、ジルコニアボンドクラウン 

がお勧めです。
 
 現時点で、自由診療のかぶせものは

1..オールジルコニアクラウン
2.メタルボンドクラウン
3.ジルコニアボンドクラウン

の3種類になります。




前歯の場合には、

一番に ジルコニアボンドクラウン
次に メタルボンドクラウン
がお勧めになります。

丈夫な前歯(歯ぎしりなどの癖のある人)
をご希望や
安価な自由診療で前歯を作りたい場合には
オールジルコニアクラウンもよいと思います。





奥歯の場合には

第三の選択として
オールジルコニアクラウン
が考えられます。






自由診療の価格に関しては
最安価クラスですが
安いから・という理由で
歯科医院選びは大きな間違えの原因になります。
かかりつけの医院があるならば
その医院を大切にしてください


 

 ジルコニアボンドとオールジルコニアの比較
 
 参考事例として

セラミック冠・前歯

セラミック冠・奥歯

ジルコニア セラミック冠 前歯・奥歯

ジルコニアボンドクラウンとメタルボンドクラウンの違い

ジルコニアボンドクラウンとメタルボンドクラウンの違い2


健康保険診療と自由診療(保険外診療)に関して
かぶせものの場合





 2015年の主流になってきた
HTLライトの症例です。

平均的な日本人色より
白くなります。

A2を境目を境界として
それより白い場合にはHTLライト
濃い場合にはHTLミディアム

という選択肢がおすすめです。

 HTMライトに
ステイン2回塗り 



ジルコニアクラウン
ライトカラー 
 ジルコニアクラウン ライト色
 
昔のパターンのような
真珠色の輝きがなくなって自然な感じが出ます。
フルジルコニア ライト塗色





 台になっているのは
HTLライトのディスクです。

全く塗色されていません。

咬合調整すると中身が見えます。
しかし研磨すると意外と目立ちません。
 オールジルコニア ライトのディスクとの比較


後日判明することですが
HTLライトでは白すぎ。

HTLミディアムでA2 A3
に近づく。

天然色に近くなりましたが
標準的な日本人の色に対しては
白い感じになります。
 オールジルコニア ライト色 装着


近年では最も優れた
歯科材料であるジルコニアですが
2年ほど前から透過率40%以上の製品が開発され
2016には、かなり普及するようになりました。

特に歯科材料のメーカーではない
国内メーカーで優れた材質の物が開発されるようになりました。
 

2016年バージョン
ウルトラハイトランスジルコニア

 

ウルトラハイトランス・ジルコニア
エクセレント仕上げ

初期のジルコニアと比較しても
全く別物と言っても良いほどの仕上がりになっています。
テクニシャンがステイン仕上げをしています。


 ウルトラハイトランス クラウン

 角度を変えて撮影
ウルトラハイトランスジルコニア
クラウン7番


ウルトラトランス ジルコニア 側面


試適中

手前の6番インプラントです。
上部構造はメタルボンドクラウンですが
インプラントのメタルボンドは
陶材に厚さがあるために
透明感が強く仕上がりが良いことが多いようです。

出来の良いメタルボンドと比較すると
ウルトラハイトランスの良さを
理解することが出来ます。


 ジルコニア口腔内試適
 

反対側

ウルトラハイトランスジルコニア
A3-4番

VITAシェードで
A3とほぼ同じ色調です。

 
ジルコニアクラウン左側 A3-4番


前面から見て
実物の歯にかなり近くなりました。

 ジルコニアクラウン A3-4番

 
両側装着

今までのフルジルコニア
(オールジルコニア)
と比較して、かなり自然な色調になりました。
仕上がりも良くかなりきれいになりました。


 両側ジルコニア

2013年あたりまではパール色したジルコニアが主流

2014年頃には、濃淡が選べるようになり各社から色別のジルコニアが発売

2015年になりホワイト ライト ミディアムという感じで
明度 彩度の違いのあるジルコニアが発売されてきた

2016年になり、高等明度 ウルトラハイトランスのジルコニアが
商品化されてきました。 




 鶴見歯医者 歯科
JR鶴見駅東口ロータリ内
京急鶴見駅30秒

230-0050 横浜市鶴見区鶴見中央1−31 
シークレイン2F

TEL 045−504−6600
 


下記の話題はオールジルコニアではありません

オールジルコニアとメタルボンドの比較です。


下記はオールジルコニアと
他のセラミックとの違いを見るための
参考事例です。
 
 

 参考事例としてメタルボンドクラウン

残念ながら、ここまでの綺麗さを求めるのは無理ですが・・・

すべてのメタルボンドクラウンは

、ハイクオリティー フルベイクと呼ばれる、

金属が見えない、フルセラミック同等の仕上げとなっています。


 メタルボンドクラウン
参考例その1


 メタルボンドクラウン
条件がそろえば、メタルボンドクラウンでも
ここまでキレイに作れます。


メタルクラウン 
これが健康保険の、メタルクラウン
この場所はかぶせものは
メタルクラウンのみ健康保険適応です。



メタルボンドクラウン
参考例その2

 
 
メタルボンドクラウン 

 オールジルコニアの例

 オールジルコニアクラウン


右側をメタルボンドクラウンにしたところ
思いのほか美しいので
反対側の金属ブリッジを取り換えることになりました。
 

メタルボンドクラウン
 

 メタルボンドクラウン 内側

 メタルボンドクラウン


メタルボンドクラウン参考例
その3・小臼歯の例


 


すべてのメタルボンドクラウンは

、ハイクオリティー フルベイクと呼ばれる、

裏側まで白く仕上げた

金属が見えない、フルセラミック同等の仕上げとなっています。
 メタルボンドクラウン 小臼歯

裏側からみたところ

 メタルボンドクラウン 内面

金属フレームにセラミックを焼き付けています

 メタルボンドクラウン 近心

横から見たところ



オールセラミック同等の仕上げです。

ジルコニアボンドは

それ以上に美しく仕上がります。


 オール ジルコニア クラウン 一本32,000円
メタルボン ドクラウン  一本38,000円
ジルコニア ボンド クラウン  一本80,000円


 



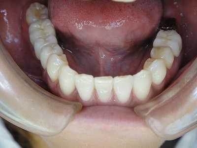
オールジルコニアクラウンと
ジルコニアボンドクラウンの比較 


真中の一本がジルコニアボンドクラウン
両側がオールジルコニアクラウンです。

違いは見ての通りです。
 
ジルコニアボンドとオールジルコニアクラウン 



 鶴見歯科 鶴見歯医者
JR鶴見駅東口ロータリ内
京急鶴見駅30秒

230-0050 横浜市鶴見区鶴見中央1−31 
シークレイン2F

TEL 045−504−6600